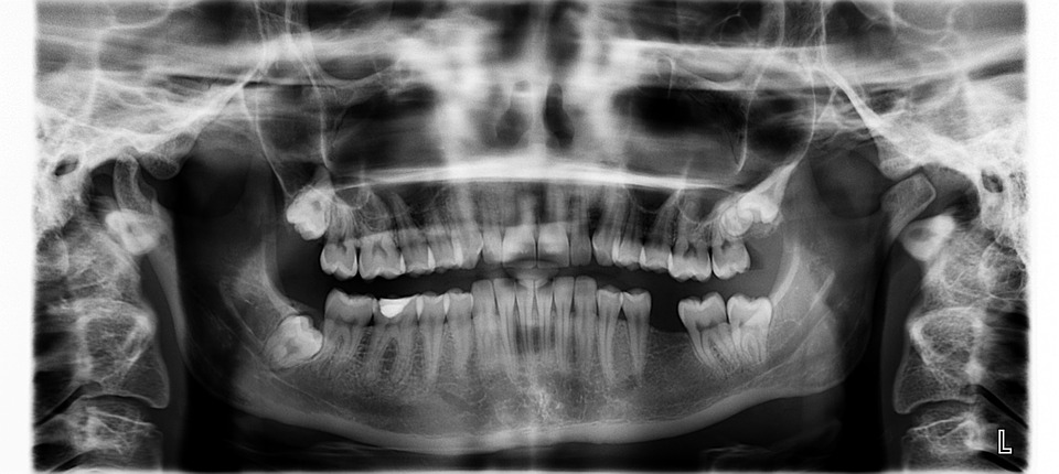
Radiografiile dentare sunt indispensabile în momentul efectuării unui control stomatologic. Medicul dentist se folosește de această imagine a dinților pentru a putea evalua în mod corect starea sănătății orale a pacientului. Radiografiile dentare panoramice folosesc un nivel foarte scăzut de radiații pentru a captura imagini ale interiorului cavității dentare, oferind o imagine exactă a dinților și gingiilor.
Radiografia dentară ar trebui efectuată măcar o dată pe an, funcția ei principală fiind facilitarea procesului de identificare a problemelor dentare, dar și de asigurare a funcționalității tratamentului.
Deoarece dorim ca tratamentele noastre să fie efectuate de fiecare dată cu exactitate, am ales să dotăm clinica cu un centru complet de radiologie dentară. Serviciile noastre de radiologie dentară includ: radiografii panoramice, radiografii intraorale și scanări asistate de computer tomograf, realizate cu ajutorul aparaturii noastre de ultimă generație. Acest centru oferă pacienților confortul de a avea în clinică toate cele necesare pentru un diagnostic exacte.
Printre beneficiile acestui tip de diagnosticări sunt:
1. Identificarea cariilor de pe dantura inferioară și superioară
2. Stabilirea tipurilor de infecții prezente în cavitatea bucală
3. Investigarea fracturilor, anomaliilor osoase și a tumorilor
4. Obținerea unei imagini complete ale maxilarului
5. Asigurarea că tratamentele endodontice au fost efectuate corespunzător prin filmele intraorale
6. Efectuarea radiografiei și a CBCT (tomografie computerizată cu fascicul conic) pentru a asigura pacienții că implanturile dentare și augumentarea osoasă s-a realizat corespunzător
7. Controlul lucărilor protetice pentru a ne asigura că acestea sunt fixate corespunzător și nu fac presiune asupra implanturlor (acolo unde este cazul)
În încheiere, dorim să dărâmăm principalul mit conform căruia pacienții se arată reticenți față de radiografii. Vorbim, desigur, de teama față de radiațiile electromagnetice emise de aparatura medicală și de complicațiile care pot apărea în cazul intrării în contact cu acestea. Aparatura noastră de ultimă generație produsă de Planmeca beneficiază de o emisie de radiații aproape nulă, echiavalentă cu un zbor cu avionul pe ruta Timișoara- București.





