
IMPLANT DENTAR
Tratamentul cu implant dentar este o investiție pe termen lung. Un implant dentar ar putea dura o viață atât timp cât inserarea sa a fost corectă, calitatea acestuia este una foarte buna, igiena este corespunzatoare iar controlul stomatologic se realizeaza regulat.
Atunci când ne decidem să optăm pentru un implant dentar este foarte important să ne documentăm despre tipul de implant de care avem nevoie și despre experiența medicului care va efectua această manoperă.
La Dental Experts ne mândrim cu peste 15.000 de implanturi inserate și cu o tradiție de peste 70 de ani de medicină si peste 50 de ani in medicina dentara.
Specialiștii noștri în chirurgie dento-alveolară, garantează tratamentul și recuperarea excelentă a pacienților, asistați de: un bloc operator modern, sală de recuperare pentru pacienți, aparatură de anestezie, aparat pentru inhalo-sedare.

Succesul unui tratament cu implant dentar ține atât de experiența medicului implantolog cât și de calitatea materialelor și aparaturii folosite.
Nu orice medic stomatolog poate efectua intervenții complexe de implantologie!
În România absolvenții facultăților de medicină dentară, începând cu promoția 1998 au dreptul de a insera implanturi dentare fără alte acreditări, iar cei care au absolvit înainte de acest an au nevoie de atestat în implantologie.Medicii stomatologi fără specializare de chirurgie sau parodontologie NU au dreptul să efectueze adiții de os, manipulări de gingie și intervenții complexe de implantologie, ci doar să insereze implanturi în cazuri simple.


Implantologia nu este recunoscută ca specializare în lume, ci este parte a proteticii dentare și a chirurgiei orale. În mod ideal, medicul care vă tratează ar trebui să aibă măcar două specializări dintre următoarele: Chirurgie Oro-Dentară, Chirurgie Maxilo-Facială, Parodontologie, Protetică dentară.
Suntem recunoscuți pentru faptul că tratăm cele mai dificile cazuri, o mare parte din pacientura noastră constând în pacienți care au fost refuzați de alte clinici datorită complexității cazului.
Medicii implantologi din clinica noastră au toate specializarile necesare și o experiență de peste 25 de ani în implantologia dentară tratând cu succes cele mai complicate cazuri de augmentari osoase, sinus lift extern și intern. (+radiografii augmentare osoasă majora)
O intervenție se desfășoară întotdeauna cu doi medici și minim 3 asistente, pentru a garanta pacientului condițiile optime de sterilitate și calitate a actului operator.
Etapele tratamentului cu implant dentar
1. Consultația și planul de tratament
Pacientul se prezintă în cadrul clinicii noastre. În urma efectuării investigațiilor radiologice (radiografie panoramică și CBCT) se primește un plan de tratament care va cuprinde toate costurile necesare. Dacă pacientul acceptă planul de tratament, următoarele programări se vor face cât mai repede posibil.
2. Inserarea implantului
Înainte de a fi inserat implantul, fiecare caz în parte este extrem de bine planificat în funcție de necesitățile fiecărui pacient. Există situații în care inserarea implantului se face cu ajutorul chirurgiei ghidate. Acest lucru presupune că ghidul respectiv care se pune în gura pacientului în timpul intervenției este planificat de către chirurg împreună cu tehnicianul dentar. Chirurgia ghidată este mult mai precisă și mai sigură.
3. Finalizarea lucrării
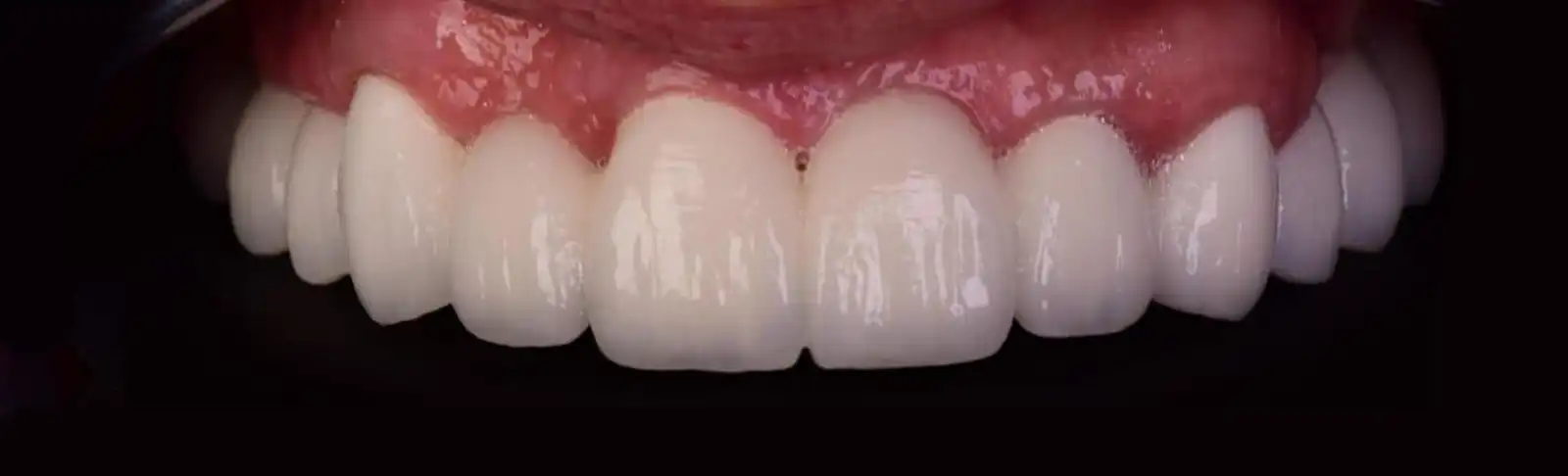
După 3/6 luni de la inserarea implantului se va primi lucrarea finală pe implant. Lucrarea recomandată este să fie o coroană înșurubată din zirconiu metalo ceramică sau metalo compozit injectat.
Calitatea implantului dentar și materialul din care este confecționată lucrarea protetică sunt esențiale pentru durabilitatea unui tratament pe termen lung.
Există diferențe între tipurile de implant, atât din punct de vedere calitativ, cât și de design. Unele alegeri le puteți face chiar dumneavoastră, altele țin de competența medicului. În cadrul clinicii noastre se lucrează cu următoarele tipuri de implanturi: implant premium Straumann, implant Zimmer trabecular metal, implant Bredent, implant REX, implant MIS, implant iRES.
În funcție de situația clinică a fiecărui pacient se recomandă un anumit timp de implant.






Care sunt aspectele pe care dumneavoastră, ca pacient, trebuie sa le cunoașteți despre alegerea tipului de implant sunt prezentate de către Prof. Dr. Emanuel Bratu în video-ul următor.
Din respect pentru pacienții noștri și din dorința constantă de a le oferi cele mai bune soluții, am testat rezistența materialelor pentru a garanta succesul pe termen lung a tratamentele oferite.
Fiecare dintre aceste materiale au avantaje şi dezavantaje estetice şi funcţionale iar selecţia lor trebuie făcută în funcţie de mărimea forţelor exercitate pe ele şi amplitudinea dinamicii mandibulare; nicidecum după considerente financiare sau estetice, altfel apar probleme de genul fracturării, ciobirii, îmbătrânirii precoce a restaurărilor sau mai grav dureri la nivelul ATM.
Folosind senzorul digital de la Tekscan (senzor ce stă la baza majorităţii aparatelor de măsurat forţe, care a fost adaptat şi calibrat pentru măsurarea forţelor interarcadice în diferite mişcări masticatorii, prin noua metodă, medicii din clinica noastra, reuşesc să obţină o precizie mai mare în măsurarea forţelor masticatorii în trei etape critice ale unui plan de tratament: în consultul iniţial, în etapa de provizorat şi după fixarea restaurărilor finale.
Într-un articol medical semnat de doctorul Ioan Borşanu, acesta explică, întregul demers prin care medicii coordonaţi de Prof. Dr. Emanuel Bratu, au ajuns la noua metodă.
Certificatul de conformitate Dental Experts
Durabilitatea este cel mai important factor care garantează munca în clinica noastră. De aceea, vreme de 2 ani după efectuarea unui implant, vom suporta orice cost legat de refacerea sau repararea lucrării. Astfel îndeplinim față de pacienții noștri promisiunea unui tratament de succes.
Pentru că ne dorim să fim cât mai transparenți și pentru o informare corectă a pacientului, în Clinica Dental Experts, fiecare pacient primește la finalul tratamentului un certificat de conformitate în care apar toate informațiile detaliate în ceea ce privește lucrările dentare primite.
Cu ajutorului acestui certificat, ,, Dental Experts by Prof. Dr. Bratu” dovedește că lucrează cu materiale de cea mai bună calitate și că nu se fac și nu se vor face compromisuri la calitate.
Prețul unui implant dentar este redat atât de complexitatea și dificultatea cazului, cât și de tipul de implant ales și durata de realizare. Cel mai important aspect este să ajungeți pe ”mâinile potrivite”. La clinica Dental Experts vom găsi mereu soluția potrivită pentru dumneavoastră.
Controlul periodic prelungește viața implantului!
Durabilitatea în timp a implantului și a lucrarilor protetice pe implanturi este condiționată de efectuarea controalelor stomatologice și a igienizarilor profesionale periodice (interval recomandat: o dată la 4 luni).
Efectuarea controlului periodic la timpul potrivit previne apariția periimplantitelor, dezechilibrării lucrărilor protetice.
Costul unui control stomatologic pentru pacienții purtători de lucrari protetice pe implanturi (radiografie panoramică + igienizare profesională) variază între 250 și 400 lei.
Oferirea garanției în clinica noastra se face strict pe materialul ales pentru lucrare, întrucât, conform codului deontologic al medicilor stomatologi, este interzisă oferirea de garanție pentru manopera medicală. (implant dentar- 5 ani, zirconiu full-contour- 5 ani, zirconiu placat cu ceramică- 3 ani, metalo-compozit injectat- 3 ani, metalo-ceramică- 2 ani).










