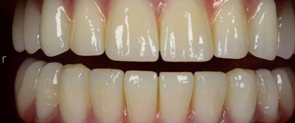
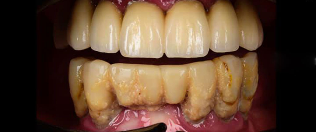
Fast&Fixed By Bredent

Tratamente:

  • Fast&Fixed By Bredent
  • Lucrare protetică exclusiv pe implanturi

Echipa medicală:

Tehnică dentară: